肺里的“海绵”变硬后还突然“闹罢工”?肺纤维化一旦加重,就像呼吸路上的“

杨胡子 2026-02-06 12:06:12

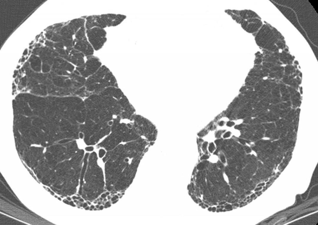
肺里的 “海绵” 变硬后还突然 “闹罢工”?肺纤维化一旦加重,就像呼吸路上的 “急刹车”,但这可不是 “绝症警报”!作为呼吸科医生,今天用大白话教你科学应对。 先认清 “加重信号”:1 个月内突然喘得更凶,平地走路都气短;干咳变频繁,甚至憋得睡不着;血氧仪读数常低于 93%(正常≥95%)。这时候别硬扛,赶紧就医 ——HRCT 会发现肺部在原有 “网格” 基础上,冒出新的 “磨玻璃影”,这就是病情加重的明确证据。 应对分三步走:第一步 “紧急就医”,直奔呼吸科或急诊科,记得带既往 CT 报告和用药记录,方便医生快速对比;第二步 “规范治疗”,住院后会先吸氧纠正缺氧,再用激素冲击控制急性炎症,配合抗纤维化药物延缓进展;第三步 “排查诱因”,感染、胃食管反流误吸、空气污染都是常见 “导火索”,针对性处理才能避免复发。 预防比治疗更关键:每年打流感和肺炎疫苗,减少感染风险;戒烟 + 远离粉尘、油烟,给肺部 “减负担”;睡前 3 小时别吃东西,防胃酸反流呛到肺里;平时练太极拳、八段锦,提升肺功能储备。 记住:肺纤维化加重是 “提醒信号”,不是 “终点通知”。早干预、找对诱因、坚持规范治疗,就能让 “变硬的海绵” 少添新伤,守护呼吸主动权。

0 阅读:29
杨胡子

杨胡子

感谢大家的关注