老涛资讯网
从安来看趣事的文章
病人躺在病床上, 趁着麻药劲还没过, 医生利索地把喉罩从病人嘴里取出, 一旁的实
2026-01-08 11:51
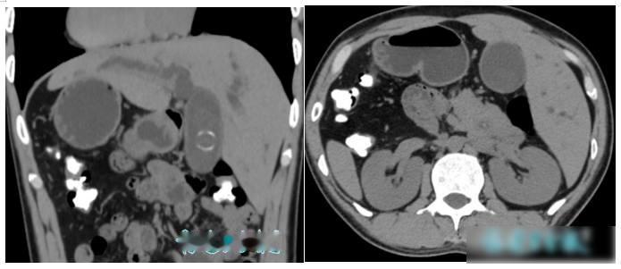
我的外甥女体检时医生发现她肝上长了一个东西,建议进一步检查。今天去医院做了ct,
2026-01-08 11:51
老公住进医院十天了,就这十天里,邻床换了三轮人了。 老公住院第十天,邻床换了三
2026-01-08 11:51
人老了,想多活几年,先管住自己。 前两天在小区门口看见王大爷摔了一跤,人躺在地
2026-01-08 11:51
国家卫健委这次是真听进去了劝。 去年冬天陪外婆体检,护士扎手指测血糖,光看那点
2026-01-08 11:51
我老公有多想要儿子,我大年三十早上破水,我老公对着肚子说了声:“憋住,憋到龙年再
育儿
2026-01-08 11:51
日常保护心脏的3个好习惯。 前两天和朋友聊天,他说最近老是心慌,去医院一查,血
2026-01-08 11:51
罕见!福建发现1例“镜面人”,医生:全球仅百万分之一 你能想象吗?有人心脏长在右
2026-01-08 11:51
人开始变老的十个迹象,你中了几条? 最近总听长辈说人上了岁数就这样,一开始觉得
2026-01-05 15:51
主任让我趴床上,我以为就是看一眼。 那天主任突然让我趴下,我脑子里只想着随便
2026-01-05 15:51
12月9日下午,一个小女孩刚开始偶尔咳嗽两声,家长以为没事。 那个冬夜全家围
2026-01-05 15:51
奉劝大家,每天晚上千万不要再执着熬夜了。 最近总看见有人一边说要早睡,一边又
2026-01-05 15:51
医生才会告诉你的4个健康真相 前些天我陪表姐做体检,她拿着报告说一切正常,还
2026-01-05 15:51
57岁,她刚给5岁的儿子生了个弟弟。 香港最近传出一条消息,50岁的陈韵晴刚
娱乐
2026-01-05 15:51
各位广大的网友,我己六十多岁,男,得糖尿病己近三十年,空腹血糖在7.5左右,餐后
2026-01-05 15:51
嫂子卵巢上长了个东西,县医院说怕是癌,让赶紧上省城。 嫂子肚子疼得厉害,县医
2026-01-05 15:51
人在icu没隐私… 那天我躺在ICU,二十岁,鼻子插着管子,嘴里塞着胃管,像
2026-01-05 15:51
早上空腹喝水,比不吃早饭危害还大?起床后,按顺序做好5件事 早上空腹喝水比不
2025-08-26 19:18
玉米是血脂“杀手”?医生劝告:如果不想血脂飙升,这3物要多吃 玉米被叫“血
2025-08-26 19:17
医生反复提醒:过了60岁,宁可在家里坐着不动,别出门做这3件事 过了60岁,
2025-08-26 19:17
第一页
下一页
从安来看趣事
感谢大家的关注
热门分类
推荐
热榜
军事
NBA
体育
社会
明星八卦
娱乐
财经
科技
汽车
历史
国际
游戏
动漫
公益
搞笑
商业
互联网
数码
国际足球
房产
家居
时尚
科学探索
职场
育儿
股票
教育
影视
情感
热点
中国军情
武器
中国南海
中国足球
亚洲杯
科比
综合体育
CBA
投资
大咖秀
外汇
创业
风口
SUV
豪车
概念车
优惠
新能源
美国
欧洲
朝日韩
俄罗斯
孕期
街拍
婚姻
正能量