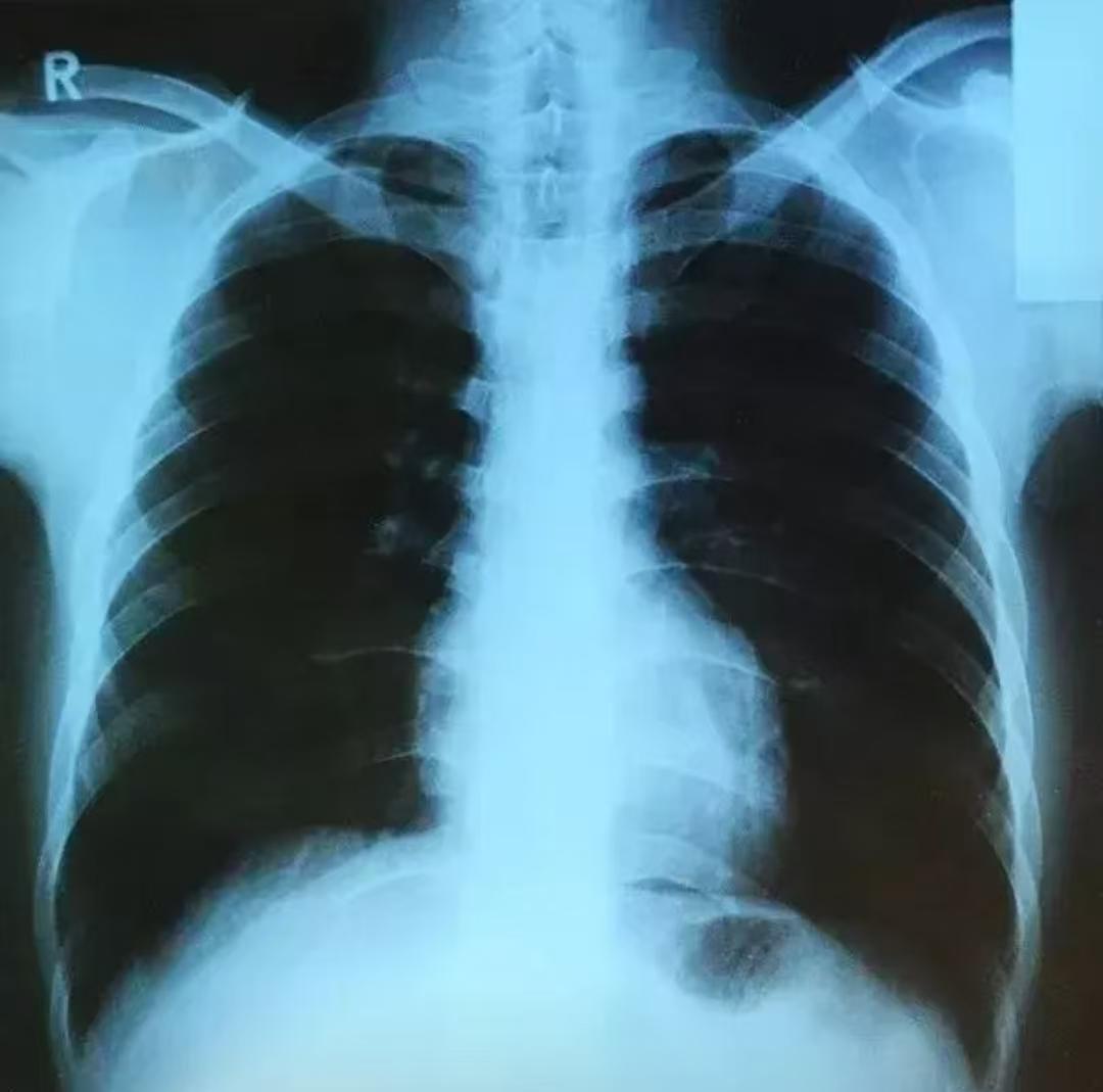
这件事我强调过很多次:肺结节长得越多,反而越要谨慎,不能轻易“一刀切”。 之前有位患者,47岁,两肺大大小小结节加起来有20多个,有些特别小,不仔细看CT都难发现。他在我这里定期随访,一跟就是五年多,直到最近才决定手术。 为什么能观察这么久?因为刚发现时,如果把所有怀疑是肿瘤的结节都切掉,切除范围会非常大,肺组织损失过多,肯定影响肺功能。 而经过三个月、半年、一年多次复查,这些结节一直很稳定,没有长大或变多,说明它们要么是“惰性”的,要么根本不长。这种情况,定期观察就是最安全的选择。即便未来有微小变化,再手术也完全来得及。 那为什么最近又决定手术了呢?是因为在最近一次复查中,发现其中一个结节的密度增高、变实了——这是一个“生长信号”,说明它开始活跃了,必须处理。 手术时我们也做了讨论和研究:既然要做,就尽量把同侧所有可疑的结节一次性处理干净。这样既能避免将来另一批结节出问题、患者又要挨一刀,也减少反复手术对肺功能的累积影响。 尽可能保护肺功能,我们设计了“肺段切除+楔形切除”的组合方案,一次手术切除了14个结节。术后病理显示,这些结节类型多样,从不典型增生、原位癌到微浸润、浸润癌都有。这也印证了他的多发性结节不是转移,而是多源发生的,各自独立生长。 至于另一侧剩下的结节,我建议继续定期复查。治疗一定要权衡利弊,在合适的时机做合适的决定。只要结节稳定,就不必积极手术;但如果哪天有变化,同侧也要争取一次处理到位。 医生的决策必须从患者实际情况出发,用最小的代价,争取最好的结果。[谢谢][玫瑰]胸外科乔贵宾医生肺结节[超话]
