#黄冈市联合调查组通报#【#黄冈通报产检正常娃出生却先天畸形#】2月13日,黄冈市联合调查组发布情况通报:
1月13日,张某反映出生幼儿漏诊先天性脊柱畸形医疗问题,黄冈市委市政府高度重视,成立联合调查组,邀请省级相关部门专家,针对张某反映的问题进行全面调查。
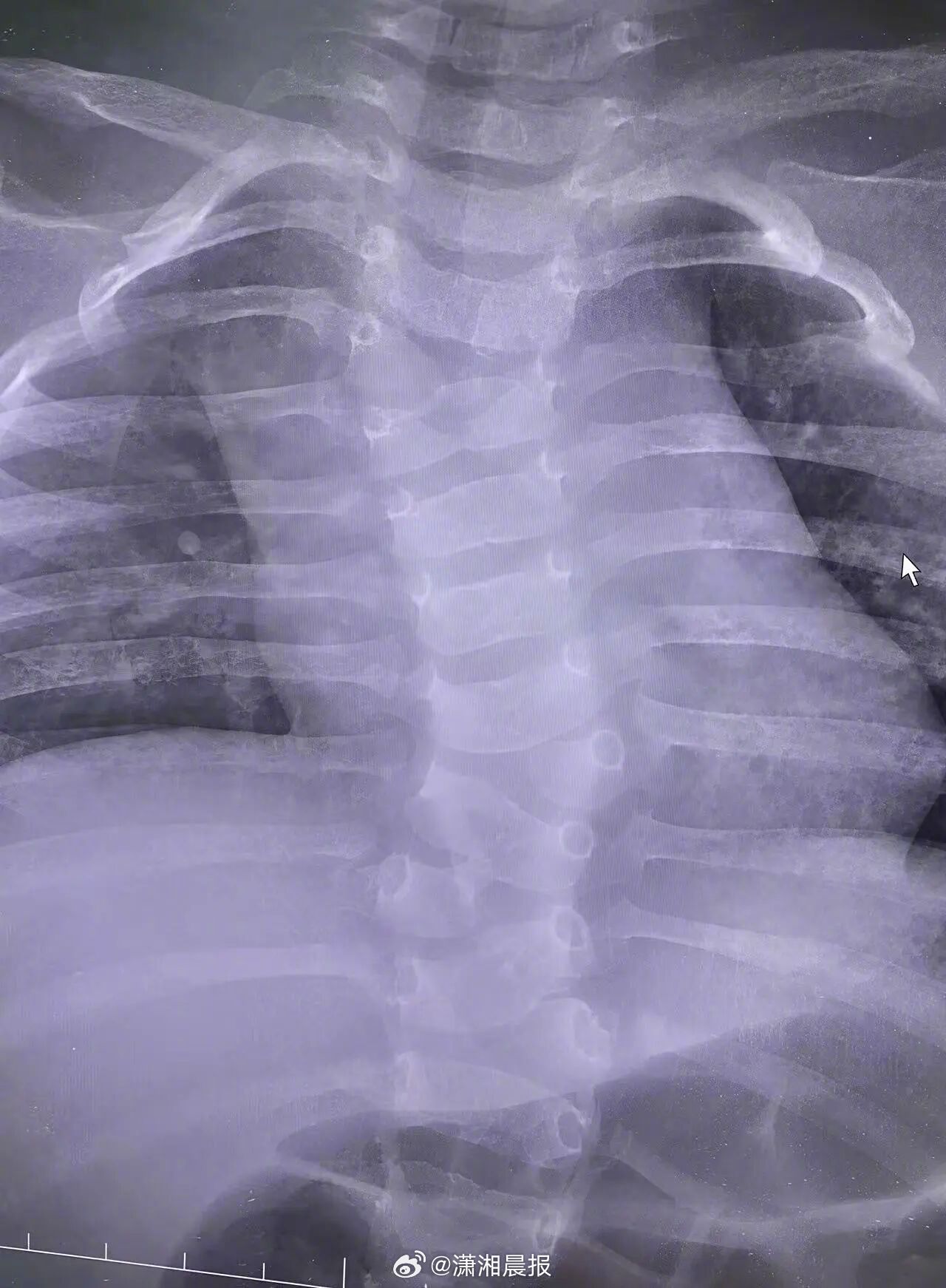
调查发现,黄冈市妇幼保健院具备开展产前筛查和产前诊断资质。在本次对张某产前筛查中,医生李某持有《医师执业证》,但未取得《母婴保健技术考核合格证》(产前筛查),未严格按照《中国超声产前筛查指南(2022版)》规范操作,未能获取包含颈胸段的脊柱全段矢状切面图像,调查过程中没有发现人为修改和删减记录;当事医生未能发现疑似缺陷。
依据调查发现的问题,已对相关责任人进行严肃追责问责,对黄冈市妇幼保健院分管副院长梅某予以立案调查;对超声影像科主任高某给予诫勉处理,免去其主任职务;对医生李某给予警告处分,调离现工作岗位。院方与当事人已达成和解。
我们将深刻吸取教训,在全市范围内持续开展医疗质量安全专项整治,对存在的问题认真排查整改。在此,诚恳接受社会各界舆论监督,感谢公众的关心关注。



