【支气管还能洗?#65岁大爷突发脑梗死气管被切开#】#医生回应给脑卒中患者做肺部

潇湘晨报 2026-04-10 18:42:33

【支气管还能洗?#65岁大爷突发脑梗死气管被切开#】#医生回应给脑卒中患者做肺部大扫除#4月10日,·晨视频记者从郴州市第一人民医院了解到,近日,65岁的脑卒中患者张大爷(化名)通过“肺部大扫除”——支气管肺泡灌洗,最终成功拔掉气管导管。

据医生介绍,65岁的张大爷因突发大面积脑梗死接受了气管切开术。术后两个月,他虽然神志转清,肢体也稍有活动,但呼吸功能障碍,存在肺容积下降,咳嗽能力差,气道廓清障碍。呼吸肌力量不足,腹式呼吸不能,膈肌活动度下降,因此反复出现发热、痰多、呼吸困难。主管医生多次尝试堵管(封闭气切套管口,观察能否自主呼吸),但每次都以失败告终。

在以上治疗基础上使用关键武器:支气管肺泡灌洗(BAL)。这到底是什么技术?简单来说,这就像给堵塞的下水道进行一次高清探头下的“定向高压冲洗”。

操作结束后,效果立竿见影。张大爷的血氧饱和度从原来的92%(吸氧状态下)上升到了98%(未增加吸氧浓度)。当天下午,张大爷咳出了大量稀薄的痰液,呼吸变得平稳。

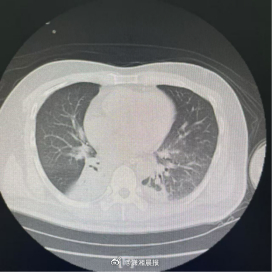
术后复查胸部CT显示:原本不张的右下肺已基本复张。医生再次尝试堵管,张大爷呼吸平稳,没有丝毫憋闷感。

经过多次支气管肺泡灌洗和系统性肺康复及吞咽训练后,张大爷的肺部感染指标恢复正常,痰量明显减少,咳嗽有力。在医护人员的监护下,张大爷的气切套管被顺利拔除。医生仅用无菌敷料覆盖了颈部窦道,几天后,伤口自行愈合。

拔掉气切套管,意味着张大爷重新建立起了完整的上呼吸道防御屏障。他不再需要通过脖子上的“洞”呼吸,口鼻恢复了通气,这不仅大大降低了肺部感染的几率,更重要的是,他能够尝试经口发声,为后续的语言康复和吞咽康复打开了大门。

0 阅读:7
潇湘晨报

潇湘晨报

创刊于2001年,现为湖南发行量最多、影响力最大的纸媒。